
About us
CTIBIOTECH is a pioneering company based in Lyon (France), specializing in the development of advanced human tissues for biomedical research and the pharmaceutical industry, and for future therapies. Founded in 2009, CTIBIOTECH’s revolutionizes research and development of new treatments by providing alternative solutions to animal testing with humanized systems.
At CTIBIOTECH, we believe in innovation for a healthier future. Our goal is to create accurate and reliable human tissues that enable researchers and companies to better understand diseases, test drugs, and develop new treatments. We use cutting-edge technologies, such as stem cells and 3D printing, to create 3D tissue and cell models that realistically simulate the structure and function of human tissues.
Our Mission








Anne-Laure Desroches
Laboratory Manager
Mathieu Lacroix
Director, Biosourcing and Logistics
Nelly Dubrulle
International Business Developer
Clément Milet
Director, Laboratory and Quality
From Idea to Results: Your Project in 4 Simple Steps
We’ve designed a streamlined process to bring your ideas to life and deliver reliable results. From the initial consultation to final delivery, every step is tailored to your needs and guided by our expertise.
It all begins with an in-depth discussion to understand your objectives, constraints, and expectations. This allows us to lay the foundation for a personalized and efficient project.
1. Initial Consultation and Project Definition
2. Development of a Tailored Solution
Our team creates a clear and detailed proposal, including an action plan, timeline, and resources tailored to your needs.
3. Execution and Test Monitoring
Once the project is validated, testing begins in our laboratories. Each step is performed under strict standards to ensure the quality and reliability of the results.
You receive a comprehensive and actionable report. We remain by your side to answer questions and plan the next steps in your collaboration.
4. Results Delivery and Support
From Idea to Results: Your Project in 4 Simple Steps
We’ve designed a streamlined process to bring your ideas to life and deliver reliable results. From the initial consultation to final delivery, every step is tailored to your needs and guided by our expertise.
It all begins with an in-depth discussion to understand your objectives, constraints, and expectations. This allows us to lay the foundation for a personalized and efficient project.
1. Initial Consultation and Project Definition
2. Development of a Tailored Solution
Our team creates a clear and detailed proposal, including an action plan, timeline, and resources tailored to your needs.
3. Execution and Test Monitoring
Once the project is validated, testing begins in our laboratories. Each step is performed under strict standards to ensure the quality and reliability of the results.
You receive a comprehensive and actionable report. We remain by your side to answer questions and plan the next steps in your collaboration.
4. Results Delivery and Support








Aurore Berton
Project Manager
Tiffany Luangvannasy
Project Manager
Alizé Vialle
Project Manager
Pauline Payen
Project Manager
Explore our industries at CTIBIOTECH




Pharmaceutical innovation
and testing
Cells and tissues testing for pharmaceuticals, vaccines and medical devices
Buy cells and tissues
We can provide you with human cells and tissues for research and testing in your own lab
Explore our CTIBIOTECH corporate website for more information about us


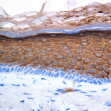
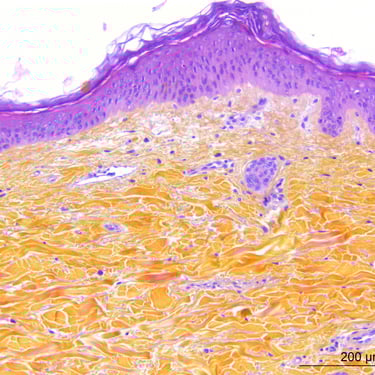
Skin tissues innovation
and testing
Award winning skin tests and the latest skin models for testing cosmetics, drugs and devices
We have worked with these people


Gallery










Certifications
We operate to the highest standards. We are fully authorized to work with human tissues, certified ISO 9001 and recognized as a fast-growing company "PERL" by the French government.





Get In Touch
Want to discuss your project for testing?
Want to collaborate on research with us?
Want to buy cells and tissues for skin research and testing?
Contact us here!
Address
CTIBIOTECH
Bat A16, 5 avenue Lionel Terray
69330 Meyzieu
Lyon, France